
據臺灣媒體報道,臺中一名85歲老奶奶和家人日前一起吃火鍋后,出現下腹疼痛癥狀,經計算機斷層檢查發現有根魚刺穿破腸道,導致腸子周圍發炎,所幸經緊急處理后已無大礙。
據報道,亞洲大學附屬醫院胃腸肝膽科主治醫師陳家禹表示,老奶奶第一次就診時,并無發燒的現象,僅有畏寒、白血球升高的癥狀,疑似是大腸憩室炎,所以開口服抗生素讓老奶奶回家休息。
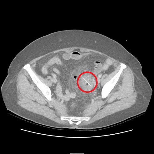
沒想到過了2天,老奶奶又來看診,醫師便為她安排住院檢查,經計算機斷層檢查,發現老奶奶乙狀結腸部份竟然有根2.5公分的魚刺,且魚刺已經穿破腸道,導致橫膈膜下方有氣體出現,經外科醫師協助開刀,終于順利幫老奶奶解決腹部不適的問題。
陳家禹指出,大多數被吞下的異物在8至12小時內都可自行由腸道排出體外,但如果是尖銳端的異物,有少數人會造成胃腸道穿孔,又以老年人、幼兒、咀嚼功能不佳及身心障礙者特別容易發生,所以家中若有這些族群,一定要多加注意。
陳家禹也建議,若不小心吞到魚刺,千萬不要慌張,也不要藉由喝水、喝醋,或吞飯減緩魚刺卡喉的不適,一定要立刻就醫,若是卡在喉嚨,則可以用內視鏡取出,若吞入魚刺后出現腹痛,則必須至醫院進一步檢查。
[責任編輯:齊昕]