
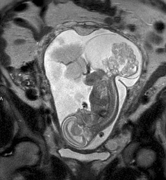
【環球網綜合報道】據英國《每日郵報》10月23日報道,美國得克薩斯州布蘭諾市的女子瑪格麗特·伯默(Margaret Boemer)懷孕16周時去做產檢,不幸被告知胎兒尾骨上長有腫瘤,她與醫生商量后決定先將胎兒取出進行腫瘤切除手術,再將其送回子宮繼續孕育。最終手術圓滿成功,12周后胎兒足月出生。

瑪格麗特稱自己當時聽到產檢結果時十分害怕。“醫生說寶寶長了骶尾部畸胎瘤。我們很震驚,很害怕,因為我們根本不知道這個什么瘤到底意味著什么。”隨著時間流逝,腫瘤越來越大,胎兒滿23周時腫瘤已危及其性命。醫生告訴瑪格麗特,若想胎兒存活,只能將胎兒取出進行手術,然后再放回子宮,否則只能立即終止孕期。“這很容易做決定:讓腫瘤奪去孩子性命,或是給孩子存活的機會。我們當然選擇后者。”瑪格麗特說。

醫生將胎兒取出20分鐘后,便放回母體子宮。12周后,寶寶足月出生。瑪格麗特稱:“這可以說是她的第二次出生了。只要她有機會活下來,我愿意承受所有風險。”(實習編譯:高睿 審稿:朱盈庫)
[責任編輯:張曉靜]